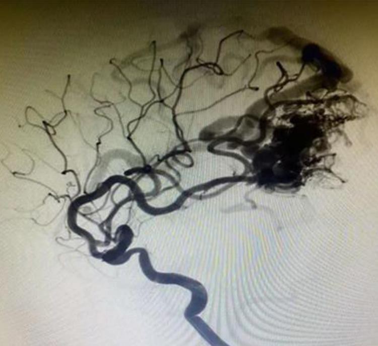
Lava -12 Aneurismes intracranials Sistema embòlic líquid
Quan lavaTmAneurismes intracranials El sistema embòlic líquid està en contacte amb la sang o qualsevol solució aquosa, la seva superfície es solidificarà immediatament i formarà una pel·lícula protectora. El DMSO de l’agent embòlic es dilueix i es difon a la sang, de manera que la pols de tàntal embolicat per EVOH es precipita i es solidifica des de l’exterior fins a l’interior. Al mateix temps, la lava es difon fins a la pressió d'injecció. Finalment, forma un cos embòlic esponjós en la posició d’embolització.

LavaTmEl sistema d’embolització d’aneurisma està fabricat amb material no adhesiu, de manera que és més segur i no enganxat al catèter.
És una fórmula única de baixa viscositat amb una gamma completa de models lava -12, lava -18 i lava -34.
Té una millor dispersió i penetració. i pot penetrar profundament en la lesió i arribar al vaixell distal.
La pols de tàntal és més fina, més lentament precipiten i amb més claredat la radiografia en comparació amb els competidors.

Notes per aAneurismes intracranials Sistema embòlic líquid
● Observeu si l’agent embòlic líquid de lava solidifica, si és així, s’ha de descongelar en primer lloc.
● Poseu un agent embòlic líquid de lava al vibrador.
● Ajusteu el vibrador al nivell alt.
● No menys de 20 minuts per sacsejar
● Fins que s’utilitzi.
|
Codi de producte |
Viscositat |
Descripcions |
|
Lava -12 |
12 CST |
Menor viscositat, més fluid, per a microvessles distals; |
|
Lava -18 |
18 CST |
Fórmula estàndard, ús general; |
|
Lava -34 |
34 CST |
Viscositat més elevada, per a vaixells d’alt flux. |











