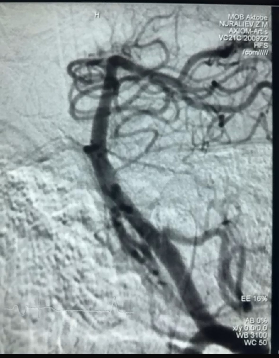
Recentment, hi va haver un cas de trombectomia amb èxit amb el Dredger Stent Retriever de NeuroSafe Medical Co., Ltd. El Dredger Stent Retriever té una punta suau no invasiva, que redueix molt el risc de danys a la íntima i té un forat únic amb forma especial. disseny que captura els coàguls de sang principalment mitjançant la fixació dels canvis de buit.





